Telšiškis sulaužė policininko šonkaulį smūgiu alkūne

Telšiškis sulaužė policininko šonkaulį smūgiu alkūne

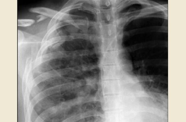
Telšiuose policininkui, bandžiusiam sutramdyti pažeidėją, sulaužytas šonkaulis.

Policijos departamento duomenimis, sekmadienį apie 21.10 val. J. Janonio gatvėje D. S. (g. 1969 m.), siekdamas išvengti sulaikymo už padarytą pažeidimą, alkūne smogė Telšių apskrities Kelių policijos skyriaus magistralinių kelių priežiūros būrio patruliui.

40-metis pareigūnas dėl dešinės pusės 6-ojo šonkaulio lūžimo, suteikus medicinos pagalbą, gydosi namuose.

Neblaivus įtariamasis (nustatytas 3.01 promilės girtumas) uždarytas į areštinę.

Šiuo metu skaitomiausi

Šiuo metu skaitomiausi

Raktažodžiai

Šiuo metu skaitomiausi

Rašyti komentarą

Plain text

  • HTML žymės neleidžiamos.
  • Linijos ir paragrafai atskiriami automatiškai
  • Web page addresses and email addresses turn into links automatically.
Sidebar placeholder